Skip to content
  • +90 552 346 60 00
  • 0 216 346 60 00
  • +90 552 346 60 00
Diş hekimi Canberk KAYADiş hekimi Canberk KAYA
  • Anasayfa
  • Tedaviler
    • Lamine
    • Diş Beyazlatma
    • Gülüş tasarımı
    • İmplant Uygulamaları
    • All on four
    • Kanal Tedavisi
  • Hakkımızda
  • İletişim

GÜLÜŞ TASARIMI

LAMİNE

BLEACHING (BEYAZLATMA)

KANAL TEDAVİSİ

ALL-ON-FOUR uygulamaları

İMPLANT UYGULAMALARI

Güler yüzlü, kaliteli hizmet alabileceginiz bir klinik ve guvenilir bir dis hekimi ariyorsaniz dogru adres ?

Mehtap Karatas / Google

Mesleki başarısının yanına güler yüzüde eklenince ortaya süper bir hekim profili çıkıyor.2 yıldır her şikayetimle anında ilgilenen ve beni tüm ağrılarımdan kurtaran Canberk Bey’e buradan teşekkür etmesem olmazdı:)

Ahmet Eren E / Google

20lik dişlerimin çekimi çene yapimdan biraz zorlu ve riskli bir islemdi.canberk hocam acısız ve hatasiz harika bir iş çıkardı.Artik dişçiye gitmekten korkmuyorum.hersey için teşekkür ederim hocam.

g....k / Doktor Takvimi

Çok iyi bir şekilde hastasına detaylı anlatıp rahatlatan ve hassas yaklaşan ailemizin doktoru

Sevil / Google

İlk dolgu tedavimde yeni tanıştığım Canberk hocamın işine hakimliği ve seri çalışması gerçekten etkileyici bunca zamandır diş tedavisi korkusu yaşayan biri olarak verdiği profesyonel hizmet çok başarılı.

Hakan Abay / Google

Bizi instagramdan takip edebilirsiniz

dt.canberkkaya

☎️0216 346 60 00
📱0552 346 60 00

Doğal dişler, kanal tedavili dişler ve implantl Doğal dişler, kanal tedavili dişler ve implantlar arasındaki hissiyat farkları anlatmak istedim, iyi seyirler :)
Sadece 3 diş yaparak ne kadar değişebilir ki?? Sadece 3 diş yaparak ne kadar değişebilir ki??

 Yeteri kadar:)
Kronolojik bir Minok dump:) Kronolojik bir Minok dump:)
Aradan geçen bir yıl. Oturma devrinin bittiğini Aradan geçen bir yıl. Oturma devrinin bittiğinin kanıtı🥹
Diş macunu seçerken nelere dikkat etmeliyiz? Diş macunu seçerken nelere dikkat etmeliyiz?
Diş hekimi korkusuyla mücadele✌️ Diş hekimi korkusuyla mücadele✌️
Instagram gönderisi 18021390479373123 Instagram gönderisi 18021390479373123
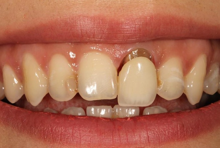
Aşırı kron harabiyeti ✔️ Eski ve renklenmi Aşırı kron harabiyeti ✔️ 
Eski ve renklenmiş dolgular ✔️
Enflame dişeti✔️ 
Kısıtlı interoklüzal mesafe✔️
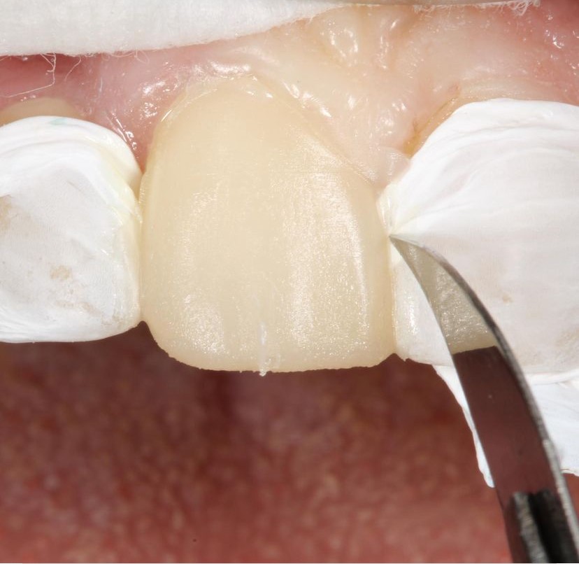
Eight pieces of laminate veneer🦷 Eight pieces of laminate veneer🦷
Instagram gönderisi 18015062630639212 Instagram gönderisi 18015062630639212
Ortodontik tedavinin imkansız olduğu durumlarda Ortodontik tedavinin imkansız olduğu durumlarda (ki 1. önceliğimiz) dişleri kaplamalar sayesinde hareket etmiş gibi gösterebiliyoruz, bu vaka da onlardan biri 🦷
Ağız-diş bakımında karşılaştığım en yay Ağız-diş bakımında karşılaştığım en yaygın hataları sizler için özetlemek istedim,iyi seyirler.
.
.
#dişhekimi #dentist #ağızvedişsağlığı
Uzun bir tatilin ardından tüm enerjimizle işimi Uzun bir tatilin ardından tüm enerjimizle işimizin başındayız🦷
İtiraf edeyim, yapmayı en çok sevdiğim ve aynı zamanda beni en çok zorlayan iş ön dişlere dolgu yapmak. O küçücük alana kaç farklı renk kullandığımızı görseniz baya bi şaşırırdınız. O yüzden amaan dolgu işte diyip geçmeyelim☺️Sektörümüzün atasözü olan ‘önce zarar verme’ yi benimseyen son neferlerimizi üzmeyelim✌️
E max porselenlerle doğallığın sınırlarını E max porselenlerle doğallığın sınırlarını zorlayabiliyoruz🦷
.
.
.
.
.#dentist #dentistry #veneer #smile #emaxcrown
Kızım 1 yaşında 🎉🎉 Kızım 1 yaşında 🎉🎉
Step by step injection molding Step by step injection molding
Üst ön 2 dişinden memnun olmayan hastamıza, in Üst ön 2 dişinden memnun olmayan hastamıza, injection molding yöntemiyle dolgu yaparak istediği görüntüye kavuşturduk. ✌️
Bunun buraya çok yakışacağını düşündüm❤️
Şöyle mini bi özet geçelim mi? . . . . . . . # Şöyle mini bi özet geçelim mi?
.
.
.
.
.
.
.
#dentist #dişhekimi #teethwhitening #hollywoodsmile #istanbul #beforeandafter
Instagram'da takip et

Blog

Bonding , estetik dolgu nedir? Nasıl yapılır?

Aslında estetik dolgu, bonding denen terimler ,bildiğimiz dolgulardan çok da farkı değildir. Kompozit dolgu sistemlerinin [...]

16
Eyl
Ne sıklıkla dişlerimi temizletmeliyim?

Bence bunun net bir cevabı yok. Dişlerimize ne kadar iyi bakarsak , diş taşı oluşumunu [...]

29
Ağu
Diş eti çekilmesi neden olur?

Diş eti çekilmesinin başlıca çekilme sebepleri arasında diş etinde temizlenmeyen alanlar, sigara kullanımı , aşırı [...]

29
Ağu
İmplant nedir? Diş implantı tedavisi kimlere uygulanır?

İmplantlar diş kökünü taklit etmek için ,genellikle titanyumdan üretilen materyallerdir. Dental implantlar kemiğe yerleştirildiğinden dolayı [...]

13
Eki

Hızlı randevu almak için

Whatsapp iletişim hattımız.

Whatsapp

TEDAVİLERİMİZ

  • İmplant Uygulamaları
  • All-On-Four
  • Kanal Tedavisi
  • Ortodonti

İLETİŞİM BİLGİLERİMİZ

  • Adres: Göztepe Mah. Ege hatboyu Sok. No:9-11A Kadıköy/İstanbul
  • Telefon: 0216 346 60 00
  • Mobil: 0552 346 60 00
  • Mail: [email protected]

© 2026 Erciyes Web

  • Anasayfa
  • Hakkımızda
  • Tedaviler
    • Lamine
    • Diş Beyazlatma
    • Gülüş tasarımı
    • İmplant Uygulamaları
    • All on four
    • Kanal Tedavisi
  • İletişim